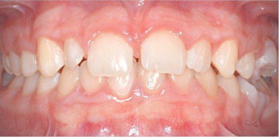
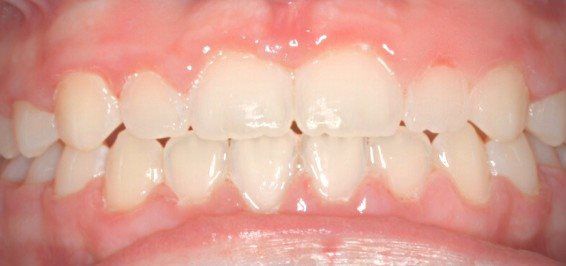
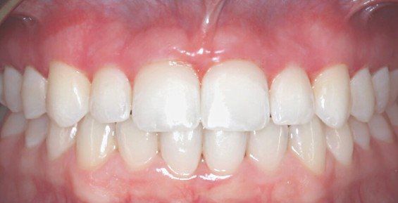
Esthetic Laser Gingival Contouring
Laser Gingival Contouring takes smiles to the next level. Laser contouring reshapes and levels the gum line to reduce the prominence of gum tissue and creates an even more impressive smile. Only topical anesthetic is needed and is healed within a few days. As a courtesy to his patients, this is an included procedure in their overall comprehensive treatment journey.
WHAT TO EXPECT
1 Hour Appointment
Topical anesthetic
Moderate soreness approximately 2-3 days
Gum swelling approximately 1 week
A bigger & more beautiful smile










